Area of ischemic necrosis caused by occlusion of either arterial supply or the venous drainage in a particular tissue
99% infarcts are from thrombotic/embolic events and almost all are from arterial occlusion.
Eg,
stroke,
pulmonary infarct following PTE,
gangrene of limbs due to PVD,
tortion of testes causing testicular infarction,
volvulus
intussusception causing bowel gangrene
Factors influencing infarction:
Nature of blood supply
Lungs have dual supply from pulmonary and bronchial arteries
Liver has dual supply from hepatic artery and portal vein
Kidney, spleen and brain have end arteries with no anastomosis
Rate of occlusion: if slow, can allow for collateral formation, eg in coarctation of aorta
Tissue vulnerability to hypoxia: neural tissue is the most susceptible, dying within 3 to 4 minutes, and myocardium within 30 to 40 min
Oxygen content in the blood: increased risk of infarction in anemic and cyanosed patient
Gross Morphology:
Infarction starts as a poorly defined wedge shaped area, with exudates and hemorrhagic area, which gets more defined by a rim of inflammation after some days.
2 types according to gross appearance
Red infarct:
infarcts in loose tissues like lung
tissues with dual supply like intestine
due to venous obstruction
Reperfusion like angioplasty is done
White infarct:
Solid organs like kidney and liver with arterial occlusion
Here the solidness of tissue limits the amount of hemorrhage that can seep into area of ischemic necrosis from adjoining capillaries.
Microscopic appearances:
Coagulative necrosis (liquefactive in brain)
Usually the cell outline are intact but with increased eosinophilia and digestion of organelles including nucleus
Inflammatory reaction begins in 1-2 days
Neutrophils and later macrophages come and phagocytose the necrotic debris
Reparative response starts from the margins
Repair is by parenchymal regeneration or scar formation
Infarcts due to septic embolisation will show abscess formation and healing by fibrosis
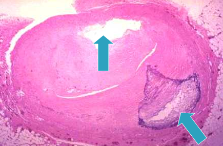
Coronary Atherosclerosis:

Coronary Thrombosis With Infarction:

Sources of embolism:

Atherosclerosis Aorta Ruptured aneurysm Nephrosclerosis:


Aorta Dissecting Aneurysms:

Coronary Narrowing in Atherosclerosis:

Atheroma Coronary Artery:

Atheroma with Thrombosis:

Thrombo-embolism:

Renal Infarction:


Subarachnoid Haemorrhage:

0 comments:
Post a Comment